ERCP是指将十二指肠镜插至十二指肠降部,找到十二指肠乳头,由活检管道内插入造影导管至乳头开口部,注入造影剂后X线摄片,以显示胰胆管的技术。在ERCP的基础上,可以开展胆胰管引流、十二指肠乳头括约肌切开术(EST)、胆胰管取石等介入治疗。适应症:1.原因不明的阻塞性黄疸疑有肝外胆道梗阻者;2.疑有各种胆道疾病如结石、肿瘤、硬化性胆管炎等诊断不明者;3.疑有先天性胆道异常或胆囊术后症状再发者;4.胰腺疾病:胰腺肿瘤、慢性胰腺炎、胰腺囊肿等。ERCP内引流较PTCD外引流有明显的优势:1.更符合生理需求,引流的胆汁能流入肠道,参与正常的消化吸收,不会造成酸碱失衡和电解质紊乱;2.沿正常的胆管操作,引流管放置在胆管内,创伤更小,不需要担心体外的引流管是否脱落或感染;3.对于梗阻初期胆管扩张不明显的患者均可以行ERCP引流。我科自2009年开始独立开展ERCP工作,有着10余年的丰富诊治经验,目前每年完成胆胰管恶性梗阻患者ERCP下支架放置百余例,技术水平处于省内领先地位。

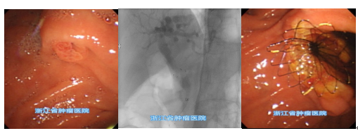
胆道金属支架放置图示
Copyright © 2022 浙江省肿瘤医院 ALLRights Reserved 浙ICP备11008795号技术支持:新慧医联
