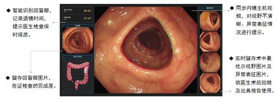
人工智能技术的研发和应用日益广泛,我中心与国内知名互联网公司积极合作,将人工智能技术与内镜检查相结合,自行研发出人工智能辅助胃肠镜检查系统,用于消化道肿瘤的辅助诊断。在胃镜检查中,该系统可实时监测检查盲区,提示遗漏部位,自动截图,提示可疑病灶,记录操作时间,进行操作评分等功能。在肠镜检查中,该系统可记录检查时间、退镜时间,提示可疑病灶,自动截图。检查完成后会记录上述数据,医师可回看质控数据。人工智能对内镜图像拍摄的标准化,规范化起到重要作用,这将大大提升我省内镜诊断水平,提高早癌的诊断率。随着技术的进一步推广,我省乃至全国的患者都将获益。
胃镜模式
肠镜模式
Copyright © 2022 浙江省肿瘤医院 ALLRights Reserved 浙ICP备11008795号技术支持:新慧医联
