骨盆因其特殊的解剖结构,既往针对骨盆骨折只能采用保守治疗,但其出血多致死率高,即使愈合,较高的致畸致残率,仍显著影响患者的生活质量,近10余年来围绕骨盆的外科手术逐渐开展起来,但依然仅限于少数较大医院,虽然“手术禁区”逐渐为大家所了解,但本世纪初,由于骨盆手术出血量大,医生甚至需要穿雨靴手术,准备上万毫升的血。2014年8月9日北京卫视生命缘节目报道了北京积水潭医院为一位陈旧性骨盆骨折患者行截骨矫形内固定手术的报道,全球同类手术仅行40例,手术共进行了7个小时出血数千毫升,可见骨盆手术的风险与难度。骨盆肿瘤作为骨肿瘤科医生心中的珠峰,尤其是骨盆肿瘤切除+半骨盆重建,因为涉及到保留周围脏器的肿瘤切除、截骨、重建髋臼及骨盆环,一直是骨科领域公认的难度最高的手术之一。
骨软外科近来积极开展骨各种良骨恶性肿瘤的诊治,并完成了数例骨盆巨大肿瘤的手术切除,术后患者功能恢复良好,近日骨软外科再次收住一例骨盆巨大肿瘤,患者女性,58岁,江西宜春人,因骨盆肿物当地医院建议转诊至我院。
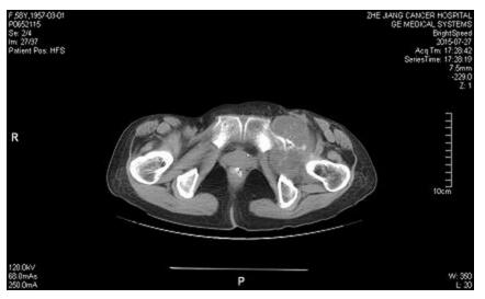
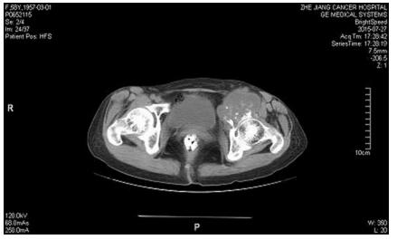
根据CT可见肿瘤累犯髋臼、耻骨下支、坐骨及部分髂骨,结合术前穿刺病理考虑软骨肉瘤,软骨肉瘤放化疗不敏感,手术为唯一根治性治疗手段,但耻骨上支后方闭孔动静脉与髂外或腹壁下动静脉会存在异常的吻合支,被称为“死亡之冠”,一旦不小心切断,很难实现止血,但是巨大的肿瘤往往遮挡手术的操作空间,很难有足够清晰的视野暴露血管,稍有不慎就将带来汹涌的出血并会危及生命。李涛主任带领整个团队经过术前反复讨论、缜密设计和充分准备,给病人实行了左骨盆肿瘤切除+全髋置换+髋臼修复+骨盆生物力学重建术,该术式利用自身骨质重建骨盆环,具有骨性愈合的特点,可以有效避免目前流行的单纯骨盆假体置换造成假体松动,脱位从而导致手术失败的缺点。
手术持续6个小时,术中出血3000ml,术后病人恢复良好,一周下地不负重拄拐行走,两周出院。
骨软外科近年来在医院领导和兄弟科室的支持和帮助下,在李涛主任的带领下陆续开展了颈胸腰椎肿瘤切除及内固定、肩髋膝肘关节周围恶性肿瘤的切除及关节置换、骶骨及骶前肿瘤切除、骨盆巨大肿瘤的切除和重建等骨科各种高难度手术,在手术难度、技巧上都达到了国内先进水平,并得到了国内各大医院同行的认同,还曾接受来自福建省肿瘤医院等兄弟单位主任介绍的病人,并顺利完成手术,为病患解除了痛苦。而成功与“死亡之冠”亲密接触也必将使骨软科各位同仁铭记“把工作做成作品”的使命,今后更好的开创骨肿瘤治疗的新蓝天。
Copyright © 2022 浙江省肿瘤医院 ALLRights Reserved 浙ICP备11008795号技术支持:新慧医联
