近日,我院208西病区副主任、援疆专家刘冠指导阿克苏第一人民医院放疗科成功完成南疆首例利用图像融合技术进行靶区勾画,此项技术标志着阿克苏第一人民医院在肿瘤放疗靶区勾画上实现了新飞跃,推动阿克苏第一人民医院的肿瘤放射治疗迈上了一个新台阶。
患者王先生,49岁,三年前确诊为肺癌,并伴全身多发转移,一直口服靶向药物控制病情至今,半月前来阿克苏第一人民医院完善脑部MRI(核磁)检查时,影像结果显示患者左侧额叶皮层交接区有异常信号,需要进行放射治疗。

在查看患者影像资料后,为进一步提升靶区勾画的精准度,提升放疗疗效,刘冠副主任决定采取CT/MRI图像融合技术为患者进行靶区勾画。在阿克苏第一人民医院放疗科副主任郑光浩、物理师胡东等人的配合下,CT/MRI图像融合技术勾画放疗靶区获成功。
此举在最大程度提高肿瘤靶区剂量的同时,还减少了正常组织受量的目标,为阿克苏第一人民医院提高放疗增益比提供了完善的技术支持。


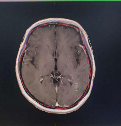
左图为CT图像,右图为图像融合后画面,可以清晰观察到圈内病灶。
刘冠副主任介绍,为患者制定放疗计划时,需要根据患者影像检查结果来确定肿瘤边界,由于CT与MRI两者的成像原理不同,突出显示的解剖结构也有所不同,但如果通过数据转换,将不同种的影像互相融合在一起,使MRI与CT图像的优势相结合,实现信息互补,便可以精确勾画患者肿瘤区域,为放射治疗方案的确定与临床诊断提供更丰富的信息。此举对精确放射治疗具有重要的研究意义。
Copyright © 2022 浙江省肿瘤医院 ALLRights Reserved 浙ICP备11008795号技术支持:新慧医联
